牛皮癣会不会有大量鳞屑
牛皮癣的其中有一部分原因是因为牛皮癣的初期症状不是很明显,所以日常生活中不会引起我们的注意,那么患有牛皮癣会不会出现大量的鳞屑呢?我们请皮肤病医院的医生来为我们介绍一下吧。

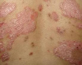
牛皮癣图片
牛皮癣会不会有大量鳞屑?
牛皮癣的早期症状是银白色的鳞屑,还出现有薄膜现象,点状出血被看作是牛皮癣症状表现的三大临床特色,牛皮癣皮肤损害起病一般是炎性红色丘疹,粟粒至绿豆大,继逐渐扩大或融合成为棕红色斑块,边界清楚,周围有炎性红晕,基底浸润明显,表面覆盖多层干燥的银白色鳞屑。
轻轻的刮除鳞屑,就会看到一层红的发亮的半透明的薄膜,这是表皮内棘身体层,称薄膜现象;再刮除薄膜,即达到真皮乳头层的顶部,此处的毛细血管被刮破,则出现小出血点,称点状出血现象。
牛皮癣是一种比较难以治愈的疾病,事实上牛皮癣也是一种有特征鳞屑性红斑的复发性、慢性、常见皮肤病。该病在自然人群中的发病率为0.1%~3%。牛皮癣患者大部分都是寻常型牛皮癣,寻常型牛皮癣是较常见的一种类型。
牛皮癣发病可以是慢性,由局部小片逐浙扩大增多。也可以是急剧的全身突然泛发点状皮疹,逐渐扩大,皮疹开始为红色斑丘疹,表面有多层银白色鳞屑,刮去鳞屑薄膜可看到少量血点,初发多呈点滴状丘疹。约一个月左右,病情会有所进展,不及时治疗,病情会迅速恶化。
患者朋友治疗牛皮癣要把握较佳的治疗时间,趁病情并不严重时及时治疗,选择正规的医院准确诊断病情以及类型,采用对应的治疗方案治愈牛皮癣,才是较佳的方案。
上一篇:牛皮藓症状你见过哪些
下一篇: 哪些表现是牛皮癣常见的
点一点,知道更多信息
名医专家
免费自助挂号平台
-
石家庄九州中西医结合皮肤病医院
门诊时间:08:00-18:00
咨询热线:0311-89109688
石行审医广[2024]第12-19-168 号
地址:石家庄市裕华区槐中路196号












拨打电话
咨询病情