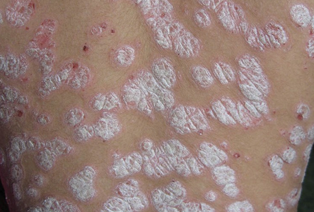
牛皮癣患者应当如何治疗才能更好的达到医治目的?
牛皮癣患者应当如何治疗才能更好的达到医治目的?牛皮癣是目前临床上很多患者比较担忧的一种易复发疾病,虽然有很多的方法或者药物是可以帮助患者治疗的,然而牛皮癣患者在治疗上的反复几率也是很大的,所以得了牛皮癣的患者是应当注意科学选择治疗医院和方法的,相信只要患者能够选对治疗药物患者还是可以避免反复复发的,所以患者不要有太多压力。

牛皮癣治疗的重点如下:
1、初发病例或长期缓解突然再发的病例,应详细询问病史,针对可能诱因(如感染、精神应激等)采取相应治疗并可使用维生素类药物、中药、针灸或其他替代疗法等各种治疗。
2、皮疹少而局限者(如皮损占全身皮肤面积10%以下)除了心理治疗牛皮癣外,只需外用药局部治疗,根据不同条件,可外用胶油、皮脂类固醇等各种制剂。
3、发病与感染有关者,首选使用抗生素可具有抗菌作用的中药,若发病与扁桃体炎关系密切,且扁桃体肥大,确已成为病灶者可做扁桃体摘除术。
4、病程较长复发较频繁但皮疹不多的患者,是心理治疗牛皮癣的重点对象,只要患者接受现实,不盲目要求根治,调整好精神状态,就不必采用不良反应大的的治疗牛皮癣,可参照初发病例的处理原则。
5、充分重视心理治疗,包括科普教育、心理导、行为治疗牛皮癣,及使用安慰剂的方法以消除患者恐惧心理,调节精。
牛皮癣患者应当如何治疗才能更好的达到医治目的?牛皮癣只要是能够专业正规的去治疗还是可以得到有效治愈的,而在牛皮癣的治疗上患者除了选择专业的方法以外,生活中各个方面的配合也是很重要的,只有将专业治疗和生活辅助治疗结合起来才能够帮助患者取得更好的治疗效果,所以患者治疗上只要的还是需要科学的使用药物和多了解生活常识,为牛皮癣的治疗做好准备。
点一点,知道更多信息
名医专家
免费自助挂号平台
-
石家庄九州中西医结合皮肤病医院
门诊时间:08:00-18:00
咨询热线:0311-89109688
石行审医广[2024]第12-19-168 号
地址:石家庄市裕华区槐中路196号












拨打电话
咨询病情