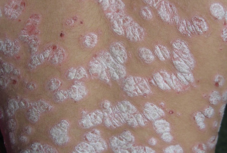
牛皮癣患者应当怎么治疗才能避免病情扩散?
牛皮癣患者应当怎么治疗才能避免病情扩散?牛皮癣是皮肤病当中的老顽固,不但是因为牛皮癣的伤害较大,也是由于牛皮癣在治疗上无法彻底的治愈,而且复发的几率很高。当然对于牛皮癣患者需要正确的认识,只要患者能够选择对因对症的方法还是可以有效治愈的。不过为了避免患者治疗上的盲目和反复,患者在选择医院上特别需要选择专业正规的皮肤病医院。

由于牛皮癣损伤严重且不易治疗,很多患者都在寻找规范医院治疗自身疾病的好方法,但由于我们对牛皮癣了解不多,牛皮癣对我们的身心影响很大,所以减少损伤的唯一办法就是得到规范及时的治疗,在这个时候我们需要做的是有一个好心情。
在了解自身情况的前提下,规范化治疗能取得良好效果。单一治疗对牛皮癣不是很好。牛皮癣的最佳治疗方法是采用中西医结合的方法,并可与其他物理疗法相配合。而且,病人平时一定要注意预防保健。牛皮癣患者还应做好平时的保健和防护工作。要听取医生意见,积极配合医生开展各项治疗,慎用药品,防止滥用药品和连续治疗。要相信科学的进步和医学的发展,准确认识和治疗牛皮癣,以及如何准确治疗牛皮癣。尤其是牛皮癣的复发,应该引起我们的重视。它将受到许多不利因素的影响。随着牛皮癣发病时间的延长,共同治疗的难度将增加。
它对我们身体的影响需要坚持更多的对症治疗。治疗方法应以安全为导向,并能达到最终治愈。病人自身的免疫力决定了我们能否迅速康复。处理过程可能比较长。但是,慢性病的本原是坚持一段时间并注意稳定治疗,而快速康复的方法未必相同。对于症状,关键是要配合自己的体质,最终控制其复发,保证症状的治疗,不能简单地相信没有科学依据的方法,否则很容易陷入误区。
牛皮癣患者应当怎么治疗才能避免病情扩散?牛皮癣是生活中患者比较烦恼和困扰的皮肤病,不但是因为牛皮癣瘙痒难忍,也是因为牛皮癣患者治疗上反反复复的伤害患者的治疗信心。其实对于牛皮癣患者是需要正确认识的,尽管牛皮癣在治疗上存在着多多少少的困难,但是只要患者针对自身的实际情况去治疗,牛皮癣也就能够被治愈的。当然在治疗牛皮癣上,推荐患者选择中医药治疗,疗效长远,副作用较小,是能够保障患者及时解脱的一种选择。
点一点,知道更多信息
名医专家
免费自助挂号平台
-
石家庄九州中西医结合皮肤病医院
门诊时间:08:00-18:00
咨询热线:0311-89109688
石行审医广[2024]第12-19-168 号
地址:石家庄市裕华区槐中路196号












拨打电话
咨询病情