牛皮癣发病早期的症状损害都是什么表现呢?
牛皮癣发病早期的症状损害都是什么表现呢?目前大多数牛皮癣患者虽然想尽各种药物方法治疗,但是还是会反反复复甚至加重病情,牛皮癣尽管是不容易治疗的,但是患者也不要过于有负担,还是应当选择专业正规的医院科学的诊治才好。

患有牛皮癣早期的发病症状有哪些呢?
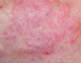
1、早期的牛皮癣表面覆盖着一层干燥的银白色鳞屑,轻轻的刮除鳞屑,可以看见小片的血点,这就是牛皮癣的早期特征。
2、牛皮癣的早期症状一般发生在头皮、躯干、四肢伸侧,是在皮肤上出现红色的丘疹,渐扩大融合成斑片或斑块。
3、丘疹表面有较厚的银白色磷屑,外形不规则,有的有舆图或岛屿样外观,有的皮损较小,较多,呈满天星外观,鳞屑层一层脱落。
4、早期牛皮癣会出现一些红色丘疹或斑丘疹,会呈现出鲜红色或是深红颜色。牛皮癣专家认为如果不及时对牛皮癣进行治疗的话或是治疗不当的话,皮疹就会逐渐的扩大或是融合成片,底部浸润明显,边缘清楚,周围有炎症红晕。
牛皮癣发病早期的症状损害都是什么表现呢?牛皮癣是可以得到治愈的顽疾,这是不矛盾的,事实上牛皮癣患者在治疗上遇到的主要问题就是反复复发,而针对这一点患者应当客观正确的认识,只要能够选对治疗医院和科学方法,牛皮癣患者还是可以得到有效治愈的。
点一点,知道更多信息
名医专家
免费自助挂号平台
-
石家庄九州中西医结合皮肤病医院
门诊时间:08:00-18:00
咨询热线:0311-89109688
石行审医广[2024]第12-19-168 号
地址:石家庄市裕华区槐中路196号












拨打电话
咨询病情