红斑型牛皮癣是怎么回事有什么症状呢?
红斑型牛皮癣是怎么回事有什么症状呢?在牛皮癣患者选择药物的时候一定要考虑到自身健康安全,不要选择那些副作用伤害较大的药物治疗,应当避免这种伤害。所以在临床上不推荐患者选择西医药治疗牛皮癣,而是中医药去对症的治疗牛皮癣。

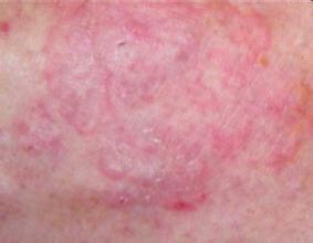
什么是红斑性牛皮癣呢?
专家指出:红斑性牛皮癣在各个年龄阶段的牛皮癣患者群体均有发病.红斑性牛皮癣的症状表现为牛皮癣皮损面积较大,呈圆形或扁平斑块状,似钱币大小或更大,也可多个相邻皮损相互融合成大片不规则的地图状,多表现为寻常型牛皮癣静止期的皮损症状,因此,这类牛皮癣也被称之为慢性斑块状牛皮癣.
全身皮肤潮红以及大量脱屑,是红斑性牛皮癣的两种典型症状表现.此外,红斑性牛皮癣的皮损境界清晰,周围无炎症性红晕,表面有较厚的牛皮癣鳞屑,无明显的点状出血现象。
专家提出患者朋友有两类红斑性牛皮癣值得引起牛皮癣患者的重视.一类是由各类感染导致的,红斑性牛皮癣病情加重或出现点滴状牛皮癣皮疹的病例。
其次,是急性发病的红斑性牛皮癣患者,其症状表现为,红斑症状迅速向牛皮癣患者全身蔓延,呈广泛的潮红,继而出现大量脱屑.头面部鳞屑常常较厚,可能与牛皮癣患者头面部皮脂较多或感染有关.对于这两类牛皮癣病症,应在病情发展初期,为牛皮癣患者选用有利于控制病情蔓延的中医药物。
红斑型牛皮癣是怎么回事有什么症状呢?红斑性牛皮癣对我们有极大的危害,一旦发现身上有该病的症状,应及时的去医院进行确诊和科学的就医,另外再生活中我们也要注意日常的预防和保健工作,远离疾病的困扰。
上一篇:牛皮癣发病的病理和特点都有哪些?
下一篇: 脓疱性牛皮癣的治疗有哪些注意事项?
点一点,知道更多信息
名医专家
免费自助挂号平台
-
石家庄九州中西医结合皮肤病医院
门诊时间:08:00-18:00
咨询热线:0311-89109688
石行审医广[2024]第12-19-168 号
地址:石家庄市裕华区槐中路196号












拨打电话
咨询病情