秋冬季节银屑病患者应当如何做好日常辅助护理呢?
秋冬季节银屑病患者应当如何做好日常辅助护理呢?银屑病不只是顽固难治让患者比较困扰,而且其复发性也是让患者生活受到一定伤害的,所以建议患者在治疗上不可胡乱的选择药物,尤其是不要随意的相信什么根治的广告。

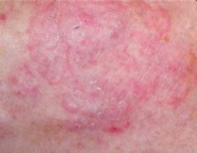
秋冬季节是银屑病的好发季节,瘙痒、鳞屑和可见的斑块常常困扰着患者。因此,正确认识银屑病并进行有效的防治非常重要。
1、三大忌口:忌酒、忌海鲜、忌辛辣。多食清淡的和富含维生素的食品,如新鲜水果、蔬菜等。
2、尽可能避免感冒、扁桃腺炎、咽炎的发生,注意天气变化,避免受凉。
3、消除精神紧张,保持轻松愉悦的心情,避免过度疲劳,注意休息。
4、居住条件应干爽、通风、便于洗浴。
5、尽量避免因不良生活习惯和作息时间紊乱而导致的内分泌失调,这些情况均可诱发银屑病并使其加重。
6、银屑病临床暂时痊愈后,其免疫功能、微循环、新陈代谢仍未完全恢复正常,一般需要2~3个月后才能复原。所以在临床痊愈后,即外表皮损完全消退后,应再继续观察和巩固治疗,使疾病治疗彻底,以免复发。
秋冬季节银屑病患者应当如何做好日常辅助护理呢?目前对于银屑病的治疗医学上还是无法彻底治愈的,所以患者在生活中是经受着很大打击和压力的,不过虽然银屑病的确是比较难治疗,然而只要患者能够正确的治疗,银屑病的复发还是可以得到很好治疗的。
点一点,知道更多信息
名医专家
免费自助挂号平台
-
石家庄九州中西医结合皮肤病医院
门诊时间:08:00-18:00
咨询热线:0311-89109688
石行审医广[2024]第12-19-168 号
地址:石家庄市裕华区槐中路196号












拨打电话
咨询病情